Skip to main content

전후사진

통증은 줄이고 회복은 빠르게, 편안한 진료를 추구합니다.

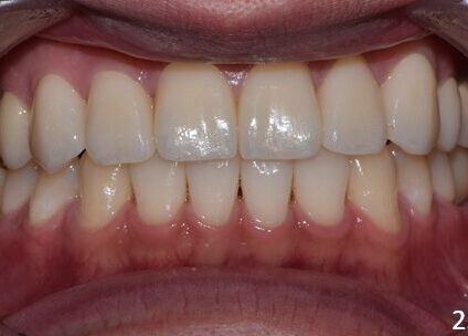
  • BEFORE
    전악 임플란트
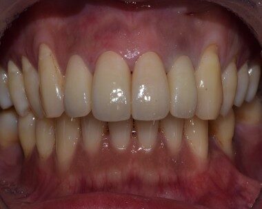
  • BEFORE
    하악 임플란트
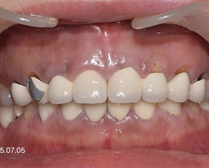
  • BEFORE
    전체 임플란트
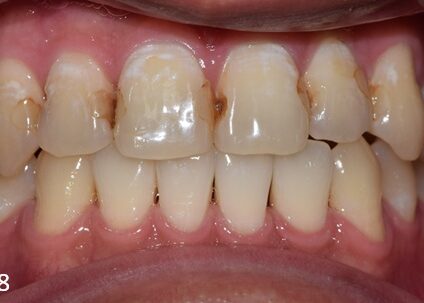
  • BEFORE
    전체 임플란트
  • BEFORE
    상악 전치부
  • BEFORE
    전치부 보철
  • BEFORE
    전치부 보철