BARO PLANT DENTAL CLINIC
바로플란트치과의원의 특별함
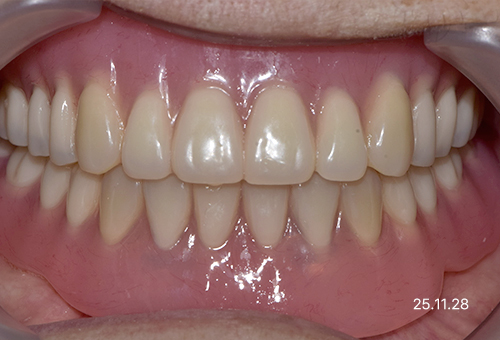
진료의 시작부터 끝까지 책임 진료
진단부터 치료 결과까지, 풍부한 임상 경험을 갖춘
대학병원 출신 대표원장이 함께합니다.
아프지 않은 치과
무통마취 시스템을 포함한 단계별 마취로
치료 과정의 통증 부담을 세심하게 줄여드립니다.
소개 환자 많고 후기가 증명해주는 치과
많은 환자분들께서 만족과 신뢰로 병원을 소개해 주고 계시며,
진솔한 후기들이 진료의 가치를 증명합니다.
과잉진료 없는 양심 치과
진단과 상담, 치료 전 과정에서 환자의 입장을 먼저 생각하며
과잉 없이 정직한 진료 원칙을 지켜갑니다
믿을 수 있는 전문의 의료진
다양한 학회 및 학술활동을 통해 경험과 실력을 쌓아왔습니다.
바로플란트치과의원 대표 진료과목
바로플란트치과의원은 필요한 치료만을 기준으로 환자 중심의 맞춤 진료를 추구합니다.
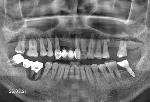
정확한 진단이 좋은 치료를 만듭니다.
바로플란트치과는 진단 정확도 · 치료 안전성 · 치료 결과의 안정성을 기준으로
실제 진료에 꼭 필요한 첨단장비를 도입하여 운영하고 있습니다.
안심하고 진료받을수 있는 치과
모든 치료에는 이유와 기준이 있어야 합니다.
끊임없는 연구와 공부로 진료의 완성도를 높여
믿고 다닐 수 있는 바로플란트치과가 되겠습니다.
LOCATION
충남 아산시 온천대로 1490-1 2,3,4층
(온양온천역 1번 출구 앞)
진료시간
- 월·수·금오전 9:30 ~ 오후 6:30
- 점심시간오후 1:00 ~ 오후 2:00
- 화·목야간 오전 9:30 ~ 오후 8:00
- 토요일오전 9:30 ~ 오후 2:00
- (점심시간 없음)
- *일요일, 공휴일은 휴진입니다.
주차안내
온양온천역 제1,2,3,4 공영주차장 주차권 지원

