심미치료
심미치료는 치아성형술과 원데이 치아미백, 심미보철로 나눠져있으며 심미성을 회복하는 치료입니다.
Esthetic Dentistry
심미치료
이상적인 치아 형태를 만드는 심미치료
심미치료는 치아의 색·형태·배열, 잇몸 라인까지 개선해 전체적인 미소의 조화를 높이는 치료로, 기능과 심미성을 함께 향상시키는 데 목적이 있습니다.
주요 심미치료 방법
치아성형술
치아성형술이란?
치아성형술은 돌출되거나 크기가 큰 치아를 삭제하여 심미적이고 이상적인 형태를 만드는 시술입니다.
장점
- 내원 당일에 치아형태를 심미적으로 개선할 수 있습니다.
- 과도한 치아삭제 없이 자연치아를 최대한 보존하여 치아의 심미적으로 개선할 수 있습니다.
- 돌출 정도가 심하거나 치아배열이 벗어난 경우 등의 경우에는 제한적이며, 보철치료가 필요할 수 있습니다.
심미보철
심미보철이란?
치아결손, 형태이상으로 기능이 저하된 경우 인공물로 대체하여 저작기능과 발음, 심미성을 회복하는 치료입니다.
보철치료가 필요한 경우
- 치아 손상: 외상으로 인해서 치아가 깨지거나 손상된 경우
- 신경치료 후: 신경치료 후 이를 완전히 씌워야 하는 경우
- 심한 충치: 충치 부위가 넓어 치아를 보호해야 할 경우
- 치아 상실: 치아가 없는 부위에 임플란트 식립이 힘들 경우
보철치료의 종류
때우기(인레이)
치아 손상이 크지 않을 경우, 충치 부위를 제거한 뒤 부분적으로 본을 떠 정밀한 모형을 제작해 손상된 부위를 채우는 치료입니다.
인레이 치료 장점
- 심미적으로 우수하며 강도가 높습니다.
- 넓은 우식 부위 회복 가능합니다.
- 삭제 부위가 적습니다.
- 열 전도율이 낮아 시린 증상이 적습니다.
씌우기(크라운)
충치나 외상으로 인해 치아 손상 범위가 넓은 경우, 치아 머리 부분 전체를 감싸는 보철물을 씌워 보호하고 기능을 복원하는 치료입니다
크라운 치료 장점
- 맞춤 보철로 정교한 모양이 가능합니다.
- 세균으로부터 치아 보호가 가능합니다.
- 내구성을 높여 치아 기능 회복이 높습니다.
- 다양한 재료로 치료가 가능합니다.
때우기(인레이)
치아 손상이 크지 않을 경우, 충치 부위를 제거한 뒤 부분적으로 본을 떠 정밀한 모형을 제작해 손상된 부위를 채우는 치료입니다.
인레이 치료 장점
- 심미적으로 우수하며 강도가 높습니다.
- 넓은 우식 부위 회복 가능합니다.
- 삭제 부위가 적습니다.
- 열 전도율이 낮아 시린 증상이 적습니다.
씌우기(크라운)
충치나 외상으로 인해 치아 손상 범위가 넓은 경우, 치아 머리 부분 전체를 감싸는 보철물을 씌워 보호하고 기능을 복원하는 치료입니다
크라운 치료 장점
- 맞춤 보철로 정교한 모양이 가능합니다.
- 세균으로부터 치아 보호가 가능합니다.
- 내구성을 높여 치아 기능 회복이 높습니다.
- 다양한 재료로 치료가 가능합니다.
걸어서 씌우기(브릿지)
충치나 외상으로 치아 일부가 상실된 부위에 인접한 치아를 지지대로 삼아 다리처럼 연결하는 보철물을 올리는 치료입니다.
브릿지 수복 장점
- 치료기간과 회복기간이 짧습니다.
- 심미적인 전치부 형태를 회복할 수 있습니다.
- 치조골이 부족하여 임플란트 식립이
어려운 경우 수복할 수 있습니다. - 비용이 경제적입니다.
틀니
치아 전체가 상실되었을 때 임플란트를 식립할 수 없을 정도로 잇몸 상태가 좋지 않은 경우에 사용합니다. 골 이식, 잇몸이식 등 여러 차례 수술을 진행해 임플란트 틀니가 가능한 경우도 있으나 불가능하면 일반 틀니 사용합니다.
틀니 장점
- 비용이 경제적입니다.
- 치료기간과 회복기간이 짧습니다.
- 치조골이 부족한 경우 사용할 수 있습니다.
걸어서 씌우기(브릿지)
충치나 외상으로 치아 일부가 상실된 부위에 인접한 치아를 지지대로 삼아 다리처럼 연결하는 보철물을 올리는 치료입니다.
브릿지 수복 장점
- 치료기간과 회복기간이 짧습니다.
- 심미적인 전치부 형태를 회복할 수 있습니다.
- 치조골이 부족하여 임플란트 식립이
어려운 경우 수복할 수 있습니다. - 비용이 경제적입니다.
틀니
치아 전체가 상실되었을 때 임플란트를 식립할 수 없을 정도로 잇몸 상태가 좋지 않은 경우에 사용합니다. 골 이식, 잇몸이식 등 여러 차례 수술을 진행해 임플란트 틀니가 가능한 경우도 있으나 불가능하면 일반 틀니 사용합니다.
틀니 장점
- 비용이 경제적입니다.
- 치료기간과 회복기간이 짧습니다.
- 치조골이 부족한 경우 사용할 수 있습니다.
라미네이트
심미적으로 불만족스러운 치아를 삭제없이 얇은 비니어를 부착해 밝고 가지런하게 만드는 시술입니다.
라미네이트 장점
- 치아 삭제를 하지 않습니다.
- 색상과 모양이 거의 자연치아에 가까워 심미적으로 우수합니다.
- 레진보다 강도와 변색에 저항성이 강하고 수명이 깁니다.
- 치아 모양, 크기, 색을 환자분이 원하는 대로 제작합니다.
- 치료기간이 짧습니다.
라미네이트
심미적으로 불만족스러운 치아를 삭제없이 얇은 비니어를 부착해 밝고 가지런하게 만드는 시술입니다.
라미네이트 장점
- 치아 삭제를 하지 않습니다.
- 색상과 모양이 거의 자연치아에 가까워 심미적으로 우수합니다.
- 레진보다 강도와 변색에 저항성이 강하고 수명이 깁니다.
- 치아 모양, 크기, 색을 환자분이 원하는 대로 제작합니다.
- 치료기간이 짧습니다.
원데이 치아미백
원데이 치아미백이란?
치아는 녹차 커피 카레 등 음식 이나 외상 또는 약품 등에 의해 어둡게 착색 또는 변색 될 수 있습니다.
이렇게 착색 또는 변색된 치아를 다시 밝고 하얗게 만드는 시술입니다.
바로플란트 전문가 미백은 안전한 치아미백 약제와 특수 광선을 이용하여 치아에 손상을 주지 않고, 내원 당일부터 보다 빠르고 즉각적인 미백효과를 얻으실 수 있습니다.
치아미백이 필요한 경우
- 치아색이 콤플렉스인 경우
- 치아가 노랗게 변색된 경우
- 커피, 와인, 흡연등으로 치아가 착색된 경우
- 결혼, 취업 등을 앞두고 빠른 미백효과가 필요한 경우
치아미백시 주의사항
- 일주일정도 너무 뜨겁거나 차가운 음식은 피합니다.
- 일주일 정도 색소침착이 쉬운 음식이나 음료는 피합니다. (카레,한약,와인,커피,콜라,녹차,홍차,포도주스,초콜릿 등)
- 일시적으로 이가 시릴 수 있습니다.
- 이가 시린 증상이 3일 이상 지속될 경우 내원합니다.
- 미백 후에도 효과를 지속하기 위해 꾸준한 양치질로 치아를 관리합니다.
- 더욱 밝은 치아를 원하거나 다시 착색이 되는 경우 6개월 정도 주기를 지켜주는 것이 치아 건강에 좋습니다.
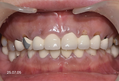
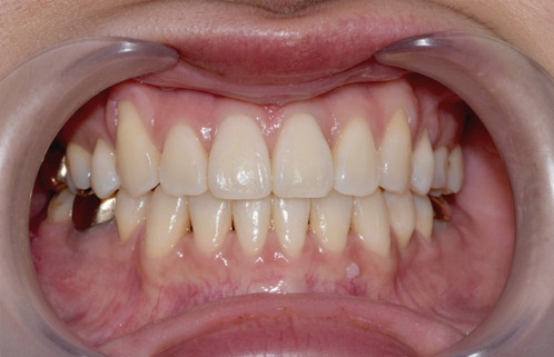
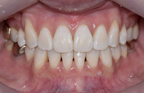
치아미백 전
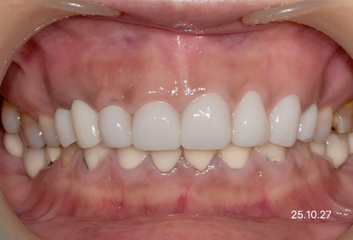
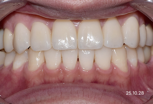
치아미백 후
치아미백 전
치아미백 후
안심하고 진료받을수 있는 치과
모든 치료에는 이유와 기준이 있어야 합니다.
끊임없는 연구와 공부로 진료의 완성도를 높여
믿고 다닐 수 있는 바로플란트치과가 되겠습니다.
LOCATION
충남 아산시 온천대로 1490-1 2,3,4층
(온양온천역 1번 출구 앞)
진료시간
- 월·수·금오전 9:30 ~ 오후 6:30
- 점심시간오후 1:00 ~ 오후 2:00
- 화·목야간 오전 9:30 ~ 오후 8:00
- 토요일오전 9:30 ~ 오후 2:00
- (점심시간 없음)
- *일요일, 공휴일은 휴진입니다.
주차안내
온양온천역 제1,2,3,4 공영주차장 주차권 지원
