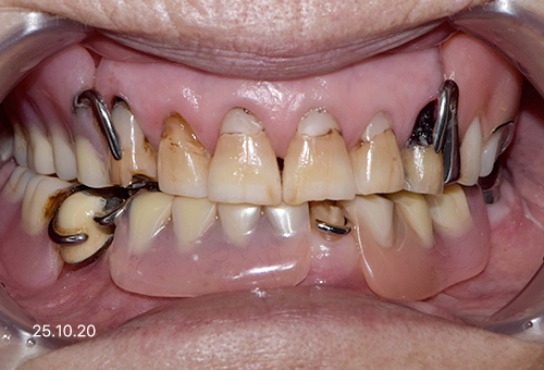
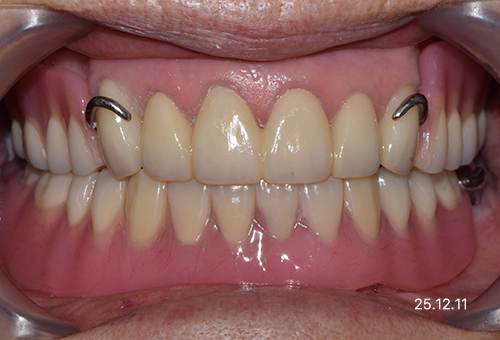
임플란트 틀니(IARPD)
적은 임플란트로 더 단단하고 편안한 틀니를 완성하는 현실적인 대안 치료입니다.
Implant overdenture
임플란트 틀니
임플란트 틀니는 적은 임플란트로 안정성과 저작력을 높이는 실용적인 틀니 치료를 말합니다.
임플란트 틀니는 최소 개수의 임플란트를 이용해 틀니의 안정성과 저작력을 크게 높여줄 수
있는 치료로 전체 임플란트 식립이 부담스러운 분들에게 비용, 기능, 안정성을 모두 고려한
현실적인 대안으로 추천드리는 치료방법입니다.
모든 사람이 임플란트 틀니 시술을
받을 수 있나요?
임플란트 틀니 시술은
대부분 가능합니다.
대부분 가능하며 정밀 진단 후 개개인에게 맞게 시술 가능여부를 안내해드립니다.
바로플란트치과는 정확한 진단을 통해
가능한 경우에만 임플란트 틀니 시술을 권해드립니다.
임플란트 틀니 추천 대상
다음과 같은 경우라면 임플란트 틀니를 고려해보세요.
기존 틀니가 헐거워 잘 빠지거나 움직임으로 불편한 경우
틀니가 잇몸에 제대로 밀착되지 않아 자꾸 움직이거나 빠지는 경우, 임플란트로 고정력을 더해 안정적으로 사용할 수 있습니다.
잇몸뼈가 많이 소실되어 임플란트 개수를 줄여야 하는 경우
뼈가 부족해 여러 개를 심기 어려울 때, 최소한의 임플란트로 보철물을 지지해 기능을 확보하는 현실적인 방법이 됩니다.
전체 임플란트 비용 부담으로 대안을 찾는 경우
전체 임플란트가 부담스러울 때, 적은 수의 임플란트만으로 기능과 안정성을 개선하는 현실적 대안이 됩니다.
씹는 힘이 약해 식사시 저작 효율이 떨어지는 경우
음식을 잘 씹기 어려워 식사 때마다 불편함이 있다면 임플란트 틀니로 저작력을 높여 보다 편안한 식사가 가능합니다.
틀니의 움직임을 줄여 더 자연스럽고 안정적으로 사용하고 싶은 경우
일반 틀니의 흔들림이나 불안정함이 고민이라면, 임플란트 지지 방식으로 더 단단하고 자연스러운 사용감을 얻을 수 있습니다.
임플란트 틀니 시술 과정
다른 치료 방법과 비교
| IARPD | 완전틀니 | 전체 임플란트 | |
|---|---|---|---|
![]() |
![]() |
![]() |
|
| 지지 방식 | 임플란트+잔존치아+잇몸 | 잇몸 | 여러 개의 임플란트 고정 |
| 안정성 | 높음 | 낮음 | 가장 높음 |
| 저작력 | 70-80% | 20-30% | 자연치 유사 |
| 필요 임플란트 개수 | 선택적으로 식립 | 없음 | 악당 6-8개 |
| 장기 안정성 | 우수 | 잇몸 상태에 따라 변화 | 매우 우수 |
| 비용 | 중간 | 가장 경제적 | 높음 |
안심하고 진료받을수 있는 치과
모든 치료에는 이유와 기준이 있어야 합니다.
끊임없는 연구와 공부로 진료의 완성도를 높여
믿고 다닐 수 있는 바로플란트치과가 되겠습니다.
LOCATION
충남 아산시 온천대로 1490-1 2,3,4층
(온양온천역 1번 출구 앞)
진료시간
- 월·수·금오전 9:30 ~ 오후 6:30
- 점심시간오후 1:00 ~ 오후 2:00
- 화·목야간 오전 9:30 ~ 오후 8:00
- 토요일오전 9:30 ~ 오후 2:00
- (점심시간 없음)
- *일요일, 공휴일은 휴진입니다.
주차안내
온양온천역 제1,2,3,4 공영주차장 주차권 지원



