충치치료
충치는 치아 면에 부착된 세균이 만들어낸 산(acid)에 의해 치질이 파괴되는 질환입니다.
Cavity treatment
충치 치료
치아의 충치를 제거하고 손상된 치아를 복원하여 기능을 회복하는 치료를 말합니다.
충치는 초반에는 통증이 거의 없어 스스로 알아차리기 어렵습니다. 통증의 정도는 치아 법랑질에서부터 치수(신경)의 손상까지 진행범위에 따라 매우 다양합니다.
환자의 건강상태와, 진행정도에 따라 치료 방향을 결정하고, 각 재료의 장담점을 충분히 살핀 후 조기에 발견하여 치료하는 것이 좋습니다.
충치의 진행 단계
더 심해지기전에 충치 치료를 고려해보세요
초기 충치
법랑질 표면에만 영향을 미칩니다. 충치균이 치아를 약화시켜 흰반점이 보이기도 합니다.
중기 충치
상아질까지 침투하여 시림이나 통증까지 발생합니다.
심한 충치
치수(신경)까지 침범하여 심한 통증 및 염증이 생기는 단계입니다.
뿌리 충치
치아 뿌리나 잇몸 근처에서 발생하는 충치입니다. 고령자에서 흔히 보이는 유형입니다.
충치 치료 방법
불소치료
불소 치료란?
고농도의 불소 제재를 치아 표면에 도포하여 치아우식(충치)를 예방하고 치아를 강화하는 치료법입니다.
모든 연령대가 대상이며, 특히 어린이와 청소년에게 권장됩니다. 일반적으로 3~6개월 주기로 시행되며,
충치 위험이 높은 경우 더 자주 시행될 수 있습니다.
치료의 효과
- 충치예방 / 초기 우식 진행 억제 / 치아 민감증 완화
치료방법
- 불소 바니쉬 / 불소 젤 / 불소액 양치 / 불소 함유치약 사용
레진 충전
레진 충전이란?
충치의 진행정도가 심하지 않은 경우, 충치를 제거하고 치아색의 재료(레진)로 직접 채우는 술식입니다.
장점
- 심미성이 우수하고 자연치아를 보존하며
비교적 간단한 시술입니다.
단점
- 강도가 크라운보다 약하여 큰 충치에는 부적합합니다.
치료방법
- 국소마취 후 우식(충치)를 제거합니다.
- 치아에 접착제를 바르고, 치아색과 유사한 레진으로 충전 후 광조사하여 굳힙니다.
- 모양을 다듬고 저작이 편하도록 조정합니다.
인레이/온레이
인레이/온레이란?
충치를 제거하고 부분적으로 본을 떠 모형을 제작해 채우는 치료 방법입니다.
장점
- 심미적으로 우수하고 강도가 높습니다.
- 기존 충전재가 있는 넓은 우식 부위를 회복할 수 있습니다.
- 크라운에 비해 치아삭제가 적습니다.
치료방법
- 충치 제거 후 치아 모양을 본뜹니다.
- 세라믹, 금, 또는 복합재료로 맞춤형 보철물을 제작합니다.
- 제작된 치아 중심의 인레이 또는 치아 전체를 커버한는 온레이를 접착합니다.
크라운
크라운이란?
근관치료 후 포함하여 충치로 치아 구조가 많이 손상된 경우 진행되는 방법입니다.
장점
- 치아 강도와 심미성을 복원하며 장기 내구성이 뛰어납니다.
치료방법
- 충치 제거 및 치아 모양을 다듬습니다.
- 세라믹, 지르코니아, 금속 등으로 제작된 크라운을 치아에 씌웁니다.
치경부 마모증
치경부 마모증이란?
잇몸이 뿌리 쪽으로 내려가 뿌리 부위가 노출되며 경계 부위 치아 표면이 마모되어 치아 경조직이 결손되는 것을 말합니다.
치료방법
마모 정도에 따라 다음과 같이 치료할 수 있습니다.
- 지각과민처치제 함유 치약 사용
- 레진 충전 (심미적이고 강도가 높은 재료)
- 글래스 아이오노머 충전 (불소 방출 효과가 있으며, 건강보험 적용이 가능함)
- 신경 치료 (치아 신경까지 손상된 경우)
- 교합 조정 (과도한 교합력이 원인인 경우)
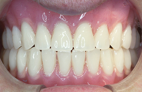
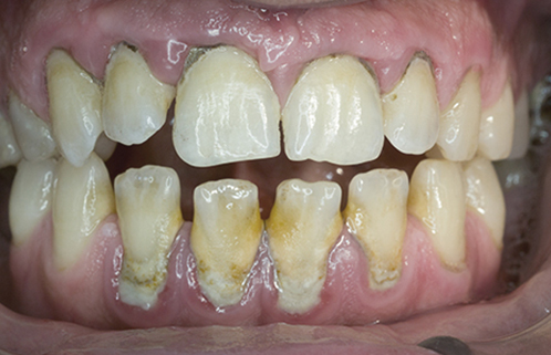
치경부 마모증 치료 전
치경부 마모증 치료 후
안심하고 진료받을수 있는 치과
모든 치료에는 이유와 기준이 있어야 합니다.
끊임없는 연구와 공부로 진료의 완성도를 높여
믿고 다닐 수 있는 바로플란트치과가 되겠습니다.
LOCATION
충남 아산시 온천대로 1490-1 2,3,4층
(온양온천역 1번 출구 앞)
진료시간
- 월·수·금오전 9:30 ~ 오후 6:30
- 점심시간오후 1:00 ~ 오후 2:00
- 화·목야간 오전 9:30 ~ 오후 8:00
- 토요일오전 9:30 ~ 오후 2:00
- (점심시간 없음)
- *일요일, 공휴일은 휴진입니다.
주차안내
온양온천역 제1,2,3,4 공영주차장 주차권 지원
